

Im Haus der Zahnmedizin Braunschweig profitieren Patientinnen und Patienten von einem integrierten Meisterlabor für Zahntechnik, das sich direkt in der Praxis befindet. Das moderne Labor ermöglicht höchste Präzision, kurze Wege und eine enge Abstimmung zwischen Zahnärzten und Zahntechnikermeistern. So sind ästhetische, zuverlässige und funktionale Ergebnisse auf höchstem Niveau möglich.
Vorteile des hausinternen Meisterlabors:
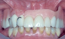
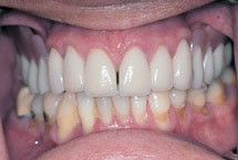
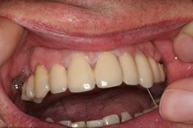
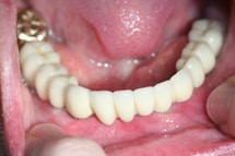
In unserem hauseigenen Meisterlabor fertigen wir in enger Zusammenarbeit mit den behandelnden Zahnärzten individuellen Zahnersatz. Durch die direkte Kommunikation entstehen Lösungen, die nicht nur funktional, sondern auch ästhetisch perfekt auf das Lächeln abgestimmt sind. Farb- und Formänderungen können sofort vor Ort vorgenommen werden, sodass ein natürliches und harmonisches Ergebnis erzielt wird.












Die Herstellung von Zahnersatz ist ein präziser Prozess, bei dem moderne Zahnmedizin und Zahntechnik eng zusammenarbeiten. Hier sind die entscheidenden Schritte für Sie als Zahnarztpatient zusammengefasst:
Das Meisterlabor der Zahnarztpraxis „Haus der Zahnmedizin“ in Braunschweig steht für höchste Qualität, Ästhetik und Patientennähe. Durch die enge Zusammenarbeit von Praxis und Labor entstehen ideale Voraussetzungen für langlebigen Zahnersatz in Perfektion. Ob Inlays, Veneers, Implantatversorgungen oder Prothesen – hier werden Zahntechnik und Zahnmedizin optimal verbunden, um Ihnen die bestmöglichen Lösungen zu bieten. Patienten profitieren von einer Rundumversorgung: von der individuellen Beratung über die präzise Behandlung bis hin zur maßgefertigten Anfertigung des passenden Zahnersatzes. Wer Wert auf Präzision, Komfort und persönliche Betreuung legt, findet im Meisterlabor des „Haus der Zahnmedizin“ in Braunschweig hervorragende Leistungen.
Vereinbaren Sie jetzt Ihren Termin im Haus der Zahnmedizin Braunschweig – für ästhetischen, langlebigen Zahnersatz aus unserem Meisterlabor.